Dental Bridges | Hickory, NC
Rebuild Your Smile with a Durable Dental Bridge
Why Get A Dental Bridge?
At McKinney-Graham Dental Arts, we understand that missing teeth can be a source of discomfort and insecurity. That’s why our experienced team is dedicated to providing high-quality dental bridges that not only restore your smile but also improve your overall oral health. Here are some key reasons why our patients choose to get a dental bridge:

Restore Your Ability to Chew and Speak Properly
Missing teeth can make it challenging to enjoy your favorite foods and communicate clearly. Our dental bridges are designed to bridge the gap left by missing teeth, allowing you to chew and speak with confidence once again.
Prevent Shifting of Remaining Teeth
When a tooth is missing, the surrounding teeth may start to shift out of place, leading to potential bite issues and further dental problems. Our dental bridges act as placeholders, maintaining the proper alignment of your remaining teeth.
Enhance Your Smile and Facial Appearance
Your smile is one of the first things people notice about you, and missing teeth can significantly impact your confidence. Our natural-looking dental bridges seamlessly blend in with your existing teeth, restoring the beauty of your smile and helping you feel more self-assured.
Distribute Chewing Forces Evenly
Missing teeth can put excessive strain on your remaining teeth, leading to potential wear and tear over time. Our dental bridges help distribute the chewing forces evenly, protecting your remaining teeth from unnecessary stress.
Maintain Facial Structure
Missing teeth can cause your facial muscles to sag inward, altering the shape of your face. Our dental bridges help maintain the proper facial structure, ensuring you look and feel your best.
Types of Dental Bridges
At McKinney-Graham Dental Arts, we offer different types of dental bridges to suit your needs:

Traditional Bridges
Traditional bridges involve creating crowns that go over the teeth on either side of the missing tooth space. These anchoring teeth are called abutment teeth, and they hold the false tooth (pontic) in place.

Cantilever Bridges
Cantilever bridges are used when there are adjacent teeth on only one side of the missing tooth space. A crown is placed on the abutment tooth, and the pontic is anchored to it.

Maryland Bonded Bridges
Maryland bonded bridges are made of plastic teeth and gum-colored metal wings that are bonded to the abutment teeth. This type of bridge is often used to replace front teeth and requires less tooth preparation.
The Dental Bridge Procedure
Getting a dental bridge typically requires two appointments:

First Appointment
The abutment teeth are prepared by removing a portion of enamel to allow room for the crown.

Second Appointment
Your temporary bridge is removed, and the new permanent bridge is checked and adjusted for proper fit.
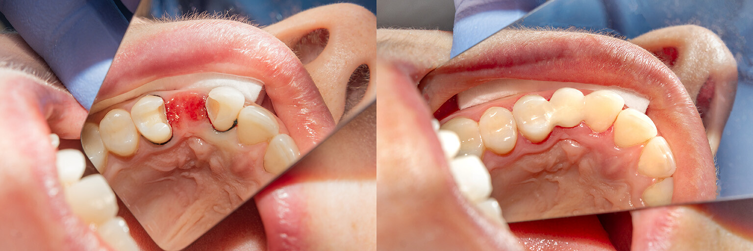
Before & After


Frequently Asked Questions
Q: How long do dental bridges last?
Q: Are dental bridges removable?
A: No, dental bridges are fixed prosthetic devices that are cemented in place and cannot be removed by the patient. Only your dentist can remove or replace a dental bridge.
Q: Does getting a dental bridge hurt?
A: Getting a dental bridge typically does not cause significant pain. Your dentist will numb the area with a local anesthetic before preparing the abutment teeth. You may experience some sensitivity or discomfort for a few days after the procedure, but this can be managed with over-the-counter pain medication.

