Dental Bonding | Hickory, NC
Restore Confidence With a Brighter, More Even Smile
At McKinney-Graham Dental Arts, we understand that a beautiful, confident smile is important to your self-esteem and overall well-being. That’s why we’re proud to offer dental bonding – a simple, affordable cosmetic treatment that can correct a variety of dental imperfections.

What is Dental Bonding?
Dental bonding uses a tooth-colored resin material that is applied and hardened with a special light. This bonds the resin to your tooth, effectively covering up any flaws or restoring damaged areas.
The bonding material comes in a variety of shades to seamlessly blend with your natural tooth color. It’s an easy, pain-free procedure that can be done in just one visit to our office.
Dental bonding can be used to:
- Repair chipped or cracked teeth
- Fill in gaps or spaces between teeth
- Change the shape of teeth
- Make teeth appear longer
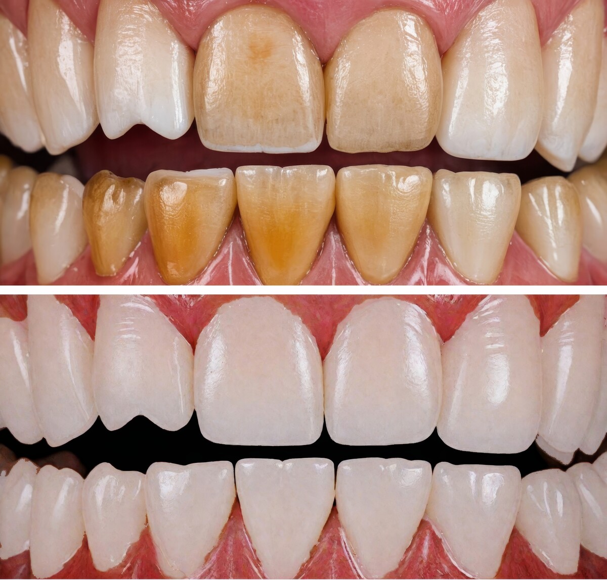
- Cover stains or discoloration
Benefits of Dental Bonding
Fast and Convenient
Dental bonding can typically be completed in a single office visit, making it a quick cosmetic solution.
Affordable
Dental bonding is one of the least expensive cosmetic dental procedures.
Conservative
Unlike veneers or crowns, little to no tooth enamel needs to be removed for bonding.
Versatile
Dental bonding can address a wide range of cosmetic concerns from chips and cracks to discoloration and gaps.

The Dental Bonding Process
During your tooth bonding treatment, one of our skilled dentists will:
- Prepare your tooth by gently etching the surface to help the bonding material adhere.
- Select a composite resin color that closely matches your existing tooth shade for a seamless blend.
- Apply the tooth-colored resin in layers, molding and smoothing it into the desired shape.
- Use a special curing light to harden and set the bonding material.
- Do any final shaping, trimming, and polishing to achieve a natural-looking result.
The entire process is quick, comfortable, and requires no anesthesia or drilling of your natural teeth.

Long-Lasting Results
With proper care, your bonded teeth can last for several years before needing to be repaired or replaced. We recommend:
- Brushing and flossing daily to prevent staining
- Avoiding biting on hard objects like ice or fingernails
- Getting regular dental cleanings to keep your bonding looking its best
Frequently Asked Questions
Q: How long does dental bonding last?
A: The lifespan of bonding can vary from 3 to 10 years, depending on your oral habits and the extent of the bonding.
Q: Does dental bonding require anesthesia?
A: Anesthesia is usually not needed unless the bonding is being used to fill a decayed tooth.
Q: Can bonded teeth be whitened?
A: No, the bonding material will not whiten like natural tooth enamel. It’s best to whiten your teeth before getting bonding.
Q: How do I care for bonded teeth?
A: Bonded teeth require the same care as your natural teeth – brush twice daily, floss once a day, and visit your dentist regularly. Avoid habits like nail-biting or chewing on hard objects that could chip the bonding.




