Teeth Whitening | Hickory, NC
Whitening That Truly Transforms Your Smile
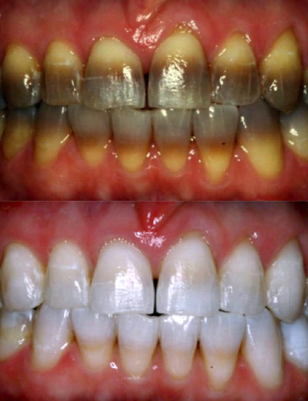
At McKinney-Graham Dental Arts, we understand the importance of a bright, confident smile. We’re proud to offer KöR Whitening, considered by thousands of dentists to be the world’s most effective teeth whitening system. KöR provides predictably exceptional results for every patient, every time.

The Benefits of Professional Teeth Whitening
While over-the-counter whitening products are available, they often provide inconsistent and underwhelming results. Our in-office whitening treatments use a powerful yet safe formulation to lift deep, stubborn stains from the enamel of your teeth.
KöR Whitening offers several advantages over other whitening methods:
- Phenomenal results, from average cases to difficult tetracycline stains
- Cost-effective solutions for various whitening needs
- Consistently exceptional outcomes due to proprietary formulation and delivery system
- No need for uncomfortable lights or lasers

Our Teeth Whitening Process
We use the advanced Kӧr whitening system to deliver fast, reliable results. The process is simple:
- We use KöR’s Dual-Activated, Tri-Barrel Hydremide Peroxide formulation
- Custom-fitted trays provide a superior seal to maintain gel freshness and potency.
- Treatment plans are tailored to your specific needs and desired results
You’ll leave our office with a smile that’s noticeably whiter and brighter after just one visit.

Maintaining Your Bright Smile
To help your new white smile last as long as possible, we recommend:
- Following the KöR at-home maintenance protocol
- Avoiding staining foods and beverages like coffee, tea, and red wine
- Not smoking or using tobacco products
- Scheduling regular cleanings to remove new surface stains
Frequently Asked Questions
Q: Is teeth whitening safe?
A: Yes, when performed by a trained dental professional using approved products and techniques, teeth whitening is an extremely safe and effective cosmetic treatment.
Q: How long do results typically last?
A: With proper care and maintenance, KöR Whitening results can be permanent, though touch-ups may be needed periodically.
Q: Will whitening cause increased sensitivity?
A: KöR Whitening is designed to minimize sensitivity. However, if any discomfort occurs, it’s typically mild and temporary.




